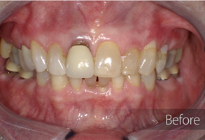
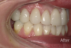
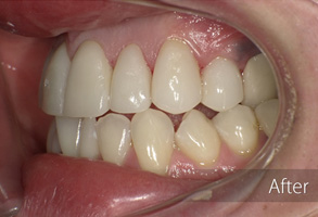
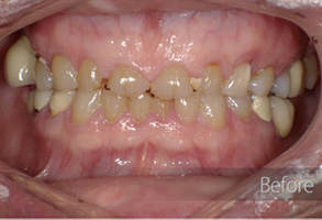
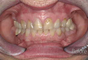
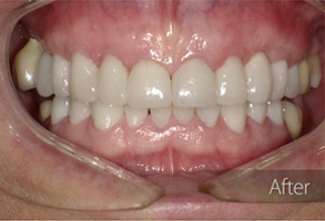
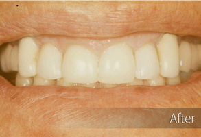
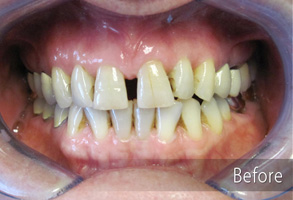
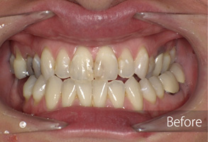
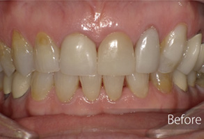
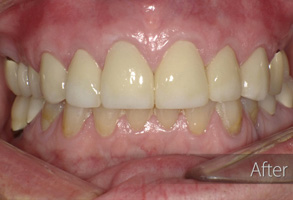
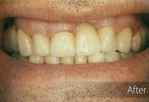
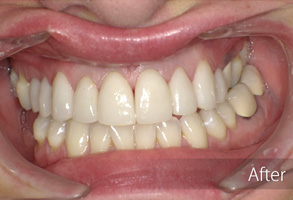
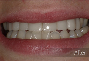
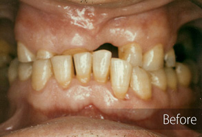
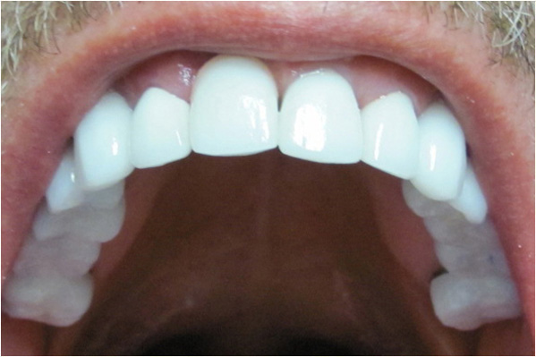
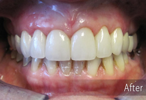
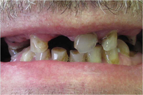
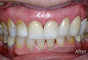
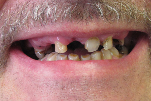
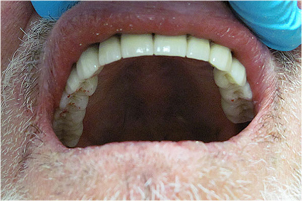
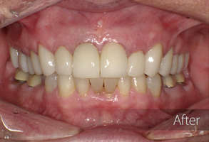
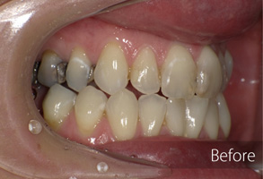
Multi-Implant Prosthesis for Full Upper Tooth Replacement
Before






After




Before






After



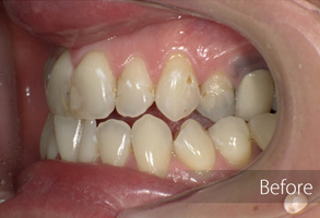
Before







After
Before
After
Our goal is to provide advanced cosmetic and implant dentistry with care, restoring smiles and confidence in a compassionate, welcoming environment.